Logo SFP

Société Française de Pathologie

A La une

CARREFOUR PATHOLOGIE 2025

La dernière édition de Carrefour Pathologie s'est déroulée du 19 au 21 novembre 2025 au CNIT Forest Paris La Défense.

Vous étiez nombreux à être inscrits et à avoir participé !

Si vous ne l’avez déjà fait, n’oubliez pas de répondre à l’enquête de satisfaction avant le 9 décembre : votre avis est essentiel pour la construction de l’édition 2026. Retenez dès maintenant les dates et le lieu de Carrefour 2026 : du 18 au  20 novembre au CNIT Forest Paris La Défense.

Et dès maintenant rendez vous sur la plate forme de rediffusion de Carrefour Pathologie 2025 dont les codes d’accès vous ont été envoyés à la fin du congrès sur le site de Carrefour http://carrefour-pathologie.org/archives-2025/
 

EPU SFP 2026

Les inscriptions sont ouvertes : à la rubrique Formations http://www.sfpathol.org/formations-offres-de-formations.html vous trouverez la liste des enseignements proposés ainsi que les deux documents que vous devez obligatoirement compléter et envoyer, le bulletin d’inscription ET la convention personnalisée.




 

Actions

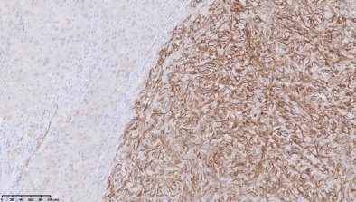
cytoponction sous échoendoscopie tumeur du pancréas

Editorial

Editorial décembre 2025

Chèr(e)s adhérent(e)s,

Au lendemain de Carrefour Pathologie 2025, nous vous adressons un très grand merci pour votre participation au succès de cette édition menée d’une main de maître par ses présidents : du comité d’organisation, Denis Châtelain, et du conseil scientifique, Séverine Valmary-Degano, avec le support sans faille de la...

Lire la suite...

Le Copath

Le CoPath (Collège des Pathologistes) est une association qui regroupe les enseignants d’Anatomie et Cytologie Pathologiques. 

Ses objectifs pour la discipline sont dans le cadre de l'enseignement :
- l’organisation de l’enseignement
- la promotion des activités de coopération internationale
- la représentation de la discipline auprès des pouvoirs publics et des tutelles.


Plus d'informations ici

Congrès

JIAP 2026 & ASSISES 2026

La 2ème Journée de l’IA en Pathologie (JIAP) se déroulera le Jeudi 12 Mars 2026 dans un nouveau lieu, Les Salons de l’Aveyron (Paris 12ème).
Les inscriptions sont ouvertes depuis le 24 novembre http://jiap-sfp.org/inscriptions/
Des conditions d’inscription particulières sont proposées jusqu’au 14 décembre minuit aux internes ainsi qu’aux AHU et Assistants spécialistes membres de la SFP.
Nous vous attendons toutes et tous au moins aussi nombreux que lors de la 1ère édition 2025!


Les 49èmes Assises de Pathologie du Touquet se tiendront les 11 et 12 juin 2026.
Les soumissions sont ouvertes depuis le 14 janvier 2026 et fermeront le 14 février 2026  


 

SOUMETTRE MON ABSTRACT

Dernière mise à jour de la page: